
Atención

¡Conozca el último CBit 10 de ultrasonido basado en carro de gama alta de CHISON!
Impulsado por la innovadora plataforma, CBit 10 nace para ser diferente.
Las funciones de vanguardia y el flujo de trabajo humanizado le brindarán una experiencia extraordinaria como nunca antes.
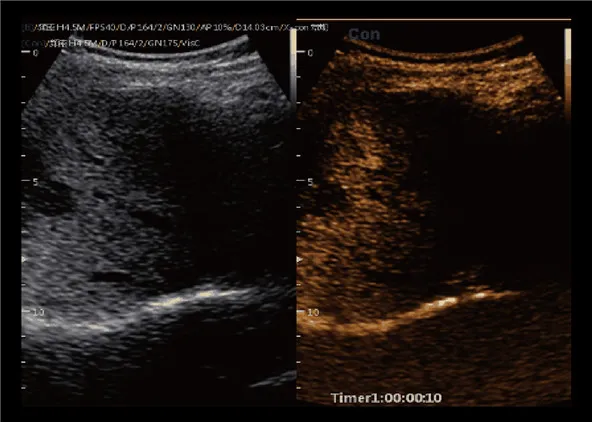
SonoContraste
● Una tecnología innovadora.
● Mayor sensibilidad.
● Mejor contraste.
● Adaptarse a todas las sondas: lineal, convexa, matriz en fase, transvaginal.
Elastografía
● Muestra la elasticidad de diferentes tejidos en diferentes colores.
● Brindar más información clínica, especialmente para tumor de mama, tiroides, hígado y próstata.
● La medición de la relación de deformación proporciona cuantitativamente la relación entre la deformación media de la región seleccionada y la de la región de tejido normal cercana.
Deformación y tasa de deformación
● Un nuevo método no invasivo para la evaluación de la función miocárdica.
● Capacidad para diferenciar entre el movimiento activo y pasivo de los segmentos miocárdicos, para cuantificar la asincronía intraventricular.
● Evaluar componentes de la función miocárdica.
AutoEF
● Reconoce y envuelve automáticamente el endocardio con precisión y proporciona valores de medición de la función cardíaca (EDV, ESV, EF) sincrónicamente.
● Mejorar en gran medida la eficiencia del trabajo.
SonoAguja
● La función SonoNeedle es un sistema de navegación de punción de diagnóstico por ultrasonido de última generación. En este modo, la trayectoria de la aguja y la posición de la punta de la aguja se muestran dinámicamente en color en tiempo real.
● Puede mejorar la eficiencia y la precisión de la punción.
SonoPW
● La puerta de muestreo se puede extender a 4 durante el modo PW.
● Puede cambiar y activar cada puerta de muestra para realizar mediciones de espectro multipunto en el mismo ciclo cardíaco en el mismo plano de exploración.
¿Está buscando una solución clínica especializada o necesita sugerencias para encontrar el escáner adecuado para su consulta? ¡Hable con nuestros expertos para saber cómo podemos ayudarlo!